Breastfeeding is Hard Work!
The most important thing you can give your new little one is proper nutrition, and you only want the best for your child. It takes time, however, for mom and baby to get used to each other, and it becomes increasingly more worrisome when your baby has difficulties learning to latch properly.
When this happens, it can be very frustrating and stressful for a new mother. If you’re consulting with your pediatrician or lactation specialist with little to no success, did you know that your Nashville, TN dentist might be able to help?

At Sullivan Dental Partners, we provide comprehensive dental care that includes addressing the unique problems of breastfeeding moms. If you are worried because your infant is having trouble with latching or you experience pain when nursing, we may be able to help.
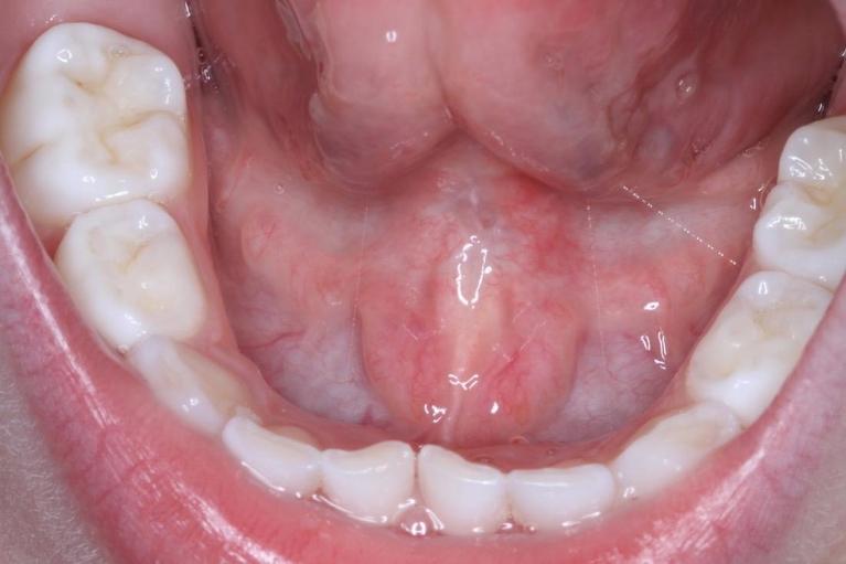
When we hear that a new mom is having difficulty breastfeeding, one of the first things we check is the baby’s frenulum. This is a thin band of tissue that exists between the upper lip and the gum and also between the tongue and bottom of the mouth.
A very tight frenulum, or “tongue tie,” can restrict your baby’s ability to nurse, causing stress for both of you as he or she struggles to latch. Dr. Rick can provide relief for both you and baby with a simple procedure called a frenectomy.
How a Tongue Tie Affects You and Your Baby
The restricted movement of a tongue-tie makes breastfeeding difficult because your infant’s tongue needs to be in a good position to nurse. If their tongue is restricted and can’t get past the gum, it can’t rest under the nipple to help form a good suction.
A tongue-tie can affect your baby’s ability to nurse successfully, but a severe lip or tongue-tie may even make it difficult for your child to latch onto a pacifier or bottle. Babies with a restrictive frenulum often struggle to receive proper nutrition. A tight frenulum in the mouth can also impact speech development or lead to orthodontic or, digestive issues, and other problems.
Since the tongue-tie affects your baby’s ability to latch, he or she may increase suction, which can lead to serious nipple pain or damage. In some cases, your baby may “chew” instead of suckling to compensate for the restriction. This, in turn, causes pain for you and inefficient milk flow for baby. If your baby has a tongue-tie, you may also experience complications due to poor latch, such as blocked ducts, thrush, and mastitis.
