Smile Gallery
When you're thinking of having dental work done, one of the questions you probably ask is, "How will it affect the appearance of my smile?"
We can assure you that at Sullivan Dental Partners, every procedure we perform not only improves your oral health, but also enhances your appearance. If you're having trouble envisioning how a particular procedure would change your smile, please browse through our gallery of Before and After pictures of some of our actual patients.
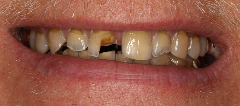
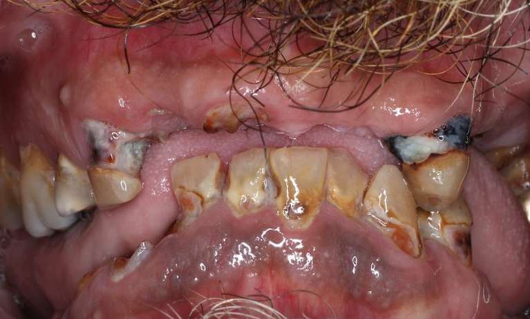
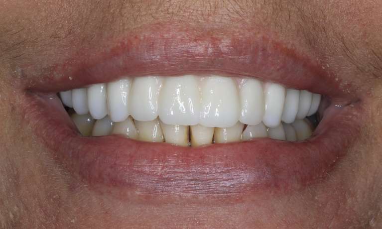
All-on-X Implant Dentures – Before & After
This patient came to us with multiple missing and failing teeth. Using the All-on-X implant technique, we provided a full-arch restoration with stable, natural-looking dentures supported by implants. The result is a dramatic transformation—restoring both function and a confident, lasting smile.
Before and After: Full Smile Makeover
This patient visited Sullivan Dental Partners looking to completely rejuvenate her smile. Through a customized full mouth smile makeover—including veneers, crowns, and whitening—we transformed her smile into one that’s bright, balanced, and beautifully natural. The results reflect both enhanced confidence and lasting oral health.
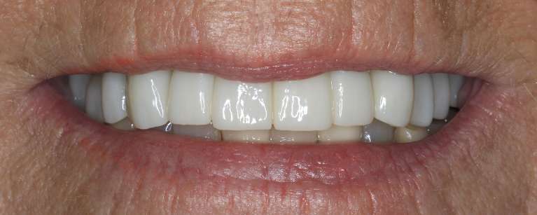
Full Smile Makeover – Before & After
This patient wanted a complete transformation to address worn, discoloured, and uneven teeth. Through a customised combination of cosmetic and restorative treatments, we created a brighter, more balanced, and youthful smile. The result is a stunning, confident look tailored to their unique goals.
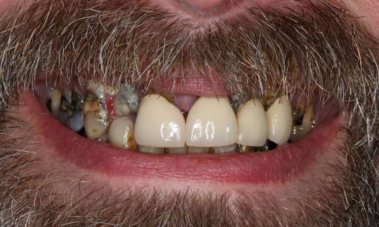
Before and After: All-on-X Implant Dentures
This patient came to Sullivan Dental Partners seeking a long-term solution for missing and damaged teeth. With All-on-X implant dentures, we restored his full smile, improving both function and appearance. The transformation showcases a natural-looking, confident smile that’s built to last.
All-on-X Implant Dentures – Before & After
This patient needed a full-arch solution after years of dental issues. With All-on-X implant dentures, we restored their smile using a secure, fixed set of teeth supported by implants. The transformation delivers a natural look, improved function, and long-term confidence—all in one streamlined treatment.
Before and After: CEREC Same-Day Crowns/Smile Makeover
This patient needed quick and reliable restoration for damaged teeth. Using CEREC same-day crown technology at Sullivan Dental Partners, we designed, created, and placed custom ceramic crowns—all in a single visit. The result is a strong, natural-looking smile with no temporary crowns or multiple appointments needed.
This patient presented with a gap between her front teeth and teeth compromised by decay. CEREC cosmetic crowns gave her a bright new smile to be proud of.
CEREC technology allows us to create porcelain crowns in-house, which saves our patients weeks of waiting time.
Could You Benefit From CEREC Technology?
Learn more by contacting your team at Sullivan Dental Partners.
Top Denture & Bottom Snap-In Denture – Before & After
This patient was struggling with missing teeth and loose-fitting dentures. We provided a custom upper denture and a lower implant-supported snap-in denture for added stability and comfort. The final result is a secure, natural-looking smile with improved function and confidence.
This patient was facing severe tooth decay and damage due to periodontal (gum) disease. After undergoing treatment for gum disease, gum contouring, and a brand-new set of porcelain crowns, she is now smiling her best smile!
Contact Sullivan Dental Partners
If you're living with compromised teeth, we have solutions for you. Call your Brentwood dentist at (615) 373-1012 or book an evaluation with Dr. Sullivan online.
Can you believe that this patient began enjoying her new smile after only one appointment? Innovative CEREC technology allows us to mill high-quality, beautiful porcelain crowns in our Brentwood dental office while you wait.
CEREC crowns are durable, look fantastic, and don't take weeks to complete!
Learn More About CEREC Crowns in Brentwood, TN
Call Sullivan Dental Partners at (615) 373-1012 for more information about CEREC same-day tooth crowns.
Have you ever felt like you had a "gummy" smile?
This patient found her best smile with cosmetic CEREC crowns in Brentwood that reduced the gum tissue seen when she smiles and added a more uniform and symmetric appearance to her smile. Not to mention brightening it!
Learn More About Cosmetic Dentistry in Brentwood, TN
If you'd like to achieve your best smile, you can learn what's possible by calling our team at (615) 373-1012 or booking your appointment online.
Look how this patient shines with her brand-new set of implant-supported dentures! Implant dentures restore her smile, chewing function, and facial structure. They also provide the added bonus of keeping her jawbone healthy and stable, which gives her denture better longevity.
Learn More at Sullivan Dental Partners
We encourage you to call us at (615) 373-1012 to learn more about what's possible for your smile!
This patient smiles their best smile with implant dentures in Brentwood, TN!
Missing teeth made eating and chewing a challenge for this patient. With an implant-supported denture, he can now chew and eat with ease and also smile with confidence.
Reclaim Your Smile with Brentwood Implant Dentures!
Are implant-supported dentures the right treatment for you? Find out during an evaluation with one of our dentists.
Implant dentures to the rescue in restoring this patient's confident smile!
Missing teeth impact your quality of life, whether it's chewing function or your ability to talk, laugh, and smile with ease. Being able to enjoy your food and smile confidently is priceless!
Reclaim Your Life with Implant Dentures in Nashville
Book an evaluation with one of our dentists to learn how we can help you regain your smile and confidence.
Dentistry and artistry combined to create this stunning smile!
This patient presented with excessively worn teeth and a "gummy" smile.
Our dentists used beautiful porcelain crowns combined with a procedure called crown lengthening, or gum contouring, that shapes the gums around the teeth for a symmetrical and gorgeous result that reveals the smile they never knew they already had.
What's Possible for Your Smile?
Contact your Brentwood, TN, cosmetic dentist at (615) 373-1012 and schedule an evaluation with one of our dentists to learn more about how we can help you achieve your best smile.
After years of wear and tear, this patient's smile suffered from tooth damage, decay, wear, and discoloration.
Smile makeovers combine multiple cosmetic treatment procedures like crowns and veneers to create a functional and beautiful smile that patients can feel proud of.
Smile makeovers are uniquely tailored to each patient's needs because our dentists consider smile goals, health history, lifestyle, and budget needs when creating treatment plans.
Book a smile evaluation with one of our dentists online or by calling Sullivan Dental Partners at (615) 373-1012.
A brighter, more symmetrical smile can take years off of your appearance!
Cosmetic crowns breathed new life into this patient's dull and discolored smile. CEREC technology allows us to create beautiful and durable crowns during one appointment while the patient waits.
Would You Like to Learn More?
You can learn what's possible for your smile by scheduling an evaluation with your cosmetic dentist in Brentwood. Call Sullivan Dental Partners at (615) 373-1012 or book an appointment online.
Can you believe this patient enjoyed her new smile on the same day as treatment? With CEREC crowns, we design and create restorations for your enhanced smile while you wait. So you'll leave our dental office with teeth you can feel proud of and rely on for comfortable chewing and eating.
Do You Need a Dental Crown in Brentwood, TN?
Contact Sullivan Dental Partners to learn more about how we can help you!
This patient was missing a molar and pre-molar, the workhorses for comfortable chewing. Without these stronger teeth at the back of your mouth, it becomes difficult to properly chew and eat your food.
Two dental implants saved the day by replacing both their root and tooth so this patient can comfortably chew their food again.
Learn More About Dental Implants in Nashville, TN
You can determine if tooth implants are right for your smile by booking an evaluation with our dentists online or by calling (615) 373-1012.
This patient presented with tooth decay, staining, and discoloration across their site line. However, same-day CEREC crowns restored vitality and vibrance to their smile again.
Do You Need a Tooth Crown?
Learn more about same-day crowns in Brentwood, TN, by booking an evaluation with one of our dentists.
Time took its toll on this patient's smile! However, worn and yellowed teeth were covered with bright, beautiful porcelain crowns.
Now this patient enjoys a more comfortable bite, a stunning smile, and easy chewing!
What's Possible for Your Smile?
Our cosmetic dentists in Brentwood can create a plan to restore and enhance your smile too. Book an evaluation online or speak with our team by calling our dental office at (615) 373-1012.
Implant dentures in Nashville restored function and aesthetics to this patient's smile. Now they can bite, chew, and smile with confidence again.
Dental implants provide the added bonus of protecting your bone health, which means better longevity for your denture.
Learn More About Implant-Supported Dentures
Book an evaluation with one of our dentists online or speak to our team when you call (615) 373-1012.
This patient's smile was plagued with severe tooth decay, gum disease, and missing teeth. Our Nashville cosmetic dentists helped him reclaim his smile, function, and confidence with upper and lower implant dentures.
With his new teeth, he can eat comfortably and smile with confidence.
Would You Like to Learn More About Implant Dentures?
Contact our team to learn about implant dentures in Nashville for your smile.
This patient presented with a missing front tooth. We used a dental bridge to replace it. We started with professional teeth whitening to lighten their teeth. Then, we could enhance their smile with a bridge shaded to flawlessly blend with their teeth.
A bridge uses crowns that anchor to the healthy teeth on either side, which support a prosthetic tooth in the middle.
We Have Solutions for Your Smile!
Whether you're missing a tooth or living with damaged or decayed teeth, our Brentwood cosmetic dentists can help. Book an evaluation online or by calling (615) 373-1012.
This person suffers from gum disease with red, irritated, and swollen gum tissue. Laser periodontal treatment (LANAP) in Brentwood removed the plaque and tartar buildup causing their infection.
Learn More About LANAP
You can protect your dental health by scheduling your next preventive teeth cleaning and checkup with your Brentwood dentist.
This patient presented with a fractured front tooth, impacting his sight line. A dental implant replaced his unsalvageable tooth, so now he can enjoy his best smile again.
Learn More About Dental Implants in Nashville, TN
Are you a candidate for dental implants? Find out by scheduling an evaluation with one of our dentists online or calling (615) 373-1012.
Our dentists used invisible braces with Invisalign to align this patient's teeth. Then they finished their smile with aesthetic porcelain crowns to deliver their bright, beautiful dream smile!
Invisalign is ideal for busy adults who'd like to straighten their teeth with discretion and ease.
Our dentists are certified Invisalign providers who can help determine if invisible braces in Brentwood can help you meet your smile goals.
Cosmetic porcelain crowns gave this patient back her best smile!
Porcelain crowns restored worn and damaged teeth, providing a brighter, rejuvenated smile that takes years off this patient's appearance and improves chewing function.
With CEREC same-day technology, we can deliver your new smile during one appointment instead of waiting weeks for a dental lab to complete the work.
Contact Sullivan Dental Partners at (615) 373-1012 for more information about dental crowns in Brentwood, TN.
Tooth decay plagued this patient's smile, but cosmetic crowns eliminated the damage and delivered a smile they can be proud of!
Porcelain crowns in Brentwood cover a tooth from top to bottom, protecting the integrity of your natural tooth structure while delivering the function and aesthetics you want.
Are Dental Crowns a Solution for Your Smile?
You can learn how we can help you achieve your best smile by booking an evaluation online or calling our team at (615) 373-1012.
Eight CEREC same-day porcelain crowns were all it took to breathe life back into this patient's dull and discolored smile.
Porcelain crowns cover damaged, discolored, or decayed teeth, restoring them to full function and aesthetics. CEREC technology allows us to deliver beautiful and durable porcelain crowns to you during one appointment.
Learn more about tooth crowns in Brentwood, TN, by calling Sullivan Dental Partners at (615) 373-1012.
Upper and lower implant dentures in Nashville restored this patient's smile and chewing function. Dentures replaced teeth that were broken, missing, and damaged, while implants hold them securely in place for better chewing function.
Now this patient is smiling with confidence and living their best life!
Contact Sullivan Dental Partners to learn more about the possibilities for your smile.
This patient presented with broken, worn, and missing teeth that left them unable to chew, talk, or smile comfortably or with confidence.
Upper and lower implant dentures provide stability and security for proper chewing function and aesthetics for a confident smile. With dental implants holding their dentures securely in place, this patient won't ever have to worry about movement or slippage when they talk or eat.
Are Implant Dentures in Nashville an Option for You?
Learn more about implant-supported dentures by scheduling an evaluation with one of our dentists.
Laser periodontal treatment was the first step in restoring this smile back to health. Once their gums were healthy, our dentists used invisible braces with Invisalign in Brentwood to properly align their teeth and correct the bite.
Now this patient is chewing and eating with confidence and ease. Not to mention their teeth are easier to brush, floss, and keep clean and healthy.
Learn More About Invisalign
Contact Sullivan Dental Partners at (615) 373-1012 to book an evaluation with one of our certified Invisalign providers.
Years of wear and tear compromised this patient's smile and chewing function. They were living with tooth decay, damage, and discoloration.
Nashville implant dentures restored their smile, chewing function, and facial structure. With dental implants holding their upper and lower dentures securely in place, this patient will never have to worry about movement or slippage when they eat, talk, or laugh.
What's Possible for You?
If you're considering enhancing the appearance and function of your smile, contact your Nashville cosmetic dentists to learn more about how we can help!
Before implant dentures, this smile was plagued with missing, damaged, and decayed teeth.
An implant-supported denture in Nashville stabilized this smile, restoring chewing function, facial structure, and aesthetics so this patient could feel confident again.
Contact Sullivan Dental Partners
Call our team at (615) 373-1012 or book an evaluation online with one of our dentists to learn more about what's possible for your smile.
This patient was unable to chew or eat his food without discomfort due to rampant decay and missing teeth.
Upper and lower complete dentures in Brentwood restored this patient's chewing function, smile, facial structure, and confidence, taking years off of his appearance!
At Sullivan Dental Partners, we offer life-changing solutions for your smile, no matter its condition. You can learn more about how we can help you by scheduling an evaluation with one of our dentists online or by calling our team at (615) 373-1012.
Our dentists gave this patient a more symmetrical, uniform, and beautiful smile with eight cosmetic crowns restoring their front teeth.
Better yet, CEREC technology allows us to design, fabricate, and deliver those crowns in one appointment without waiting weeks for a dental lab to complete their smile.
We Can Redesign Your Smile!
The possibilities are endless with your cosmetic dentist in Brentwood! Book an evaluation with our dentists to discuss your new, more beautiful smile.
This patient was living with severe bite misalignment, making it difficult for them to chew and eat comfortably.
Invisalign straightened their teeth and aligned their bite, while cosmetic crowns restored chewing function and aesthetics.
Now they can comfortably eat, chew, and smile confidently!
Learn more about Invisalign and dental crowns in Brentwood by contacting our team at (615) 373-1012.
Excessive tooth wear made it hard for this patient to properly chew their food.
Our dentists used cosmetic crowns to rebuild their smile and restore function and aesthetics. Now they can chew and eat comfortably and proudly share their smile with the world.
Learn More About Cosmetic Dentistry in Brentwood, TN
You can learn how we can restore your smile by booking an evaluation with one of our dentists. Contact us online or by phone at (615) 373-1012.
This patient presented with damaged and missing teeth on their upper arch. An implant-supported denture restored function and aesthetics to their smile.
Now they can eat and chew confidently and feel proud of their smile!
Learn About Implant Dentures in Nashville, TN
You can learn more about how implant dentures can restore your smile by scheduling an evaluation with one of our dentists. Book your appointment online or call our team at (615) 373-1012.
Old, worn, broken-down restorations compromised this smile.
A brand-new implant denture in Nashville was just what this patient needed to rejuvenate their smile! Now they're chewing and eating with ease again.
Our dentists can determine if implant-supported dentures are right for you during an evaluation. Call (615) 373-1012 to book your appointment.
When we first met, this patient could not eat comfortably or feel confident about their smile.
Upper and lower implant dentures restored their teeth. Now they're enjoying all the foods they used to love, experiencing better nutrition, and smiling with confidence again.
Could Implant-Supported Dentures in Nashville Be Your Solution?
Take the steps toward your beautiful smile and improved dental health by calling our team at (615) 373-1012 or booking an evaluation with our dentists online.
Feeling confident about your smile is hard when your front teeth are compromised by tooth decay.
A new upper implant denture helped this patient reclaim their smile and confidence.
Your Nashville dentist can help you achieve your best smile! Book an evaluation with one of our dentists online or by calling our team at (615) 373-1012.
This smile was plagued by tooth decay that was causing damage and tooth breakdown, becoming uncomfortable and making it hard for this patient to chew.
An upper implant denture revitalized their smile! Now chewing and eating are easy and comfortable, and smiling is something they can enjoy again.
Let your cosmetic dentist in Nashville help you reclaim your best smile! Call our team at (615) 373-1012 for more information.
Implant-supported dentures gave this patient back her smile! Not to mention stabilized function for chewing and eating. In addition, implant dentures in Nashville hold dentures securely in place, which gives patients peace of mind knowing they won't slip or move while they're eating or talking.
Want to Learn More About Implant-Supported Dentures in Nashville, TN?
Contact Sullivan Dental Partners at (615) 373-1012.
Is your smile looking dull and discolored? Cosmetic dentistry in Brentwood, TN, can help you achieve the brighter, more beautiful smile you want.
With a variety of treatment options, including porcelain crowns and veneers or professional teeth whitening, we can help you achieve a smile you can be proud of.
Contact Sullivan Dental Partners if you have questions about cosmetic dentistry.
Dental crowns and veneers help us create dream smiles like the one you see here!
CEREC technology allows us to deliver a smile like this in only one appointment with same-day crowns and veneers in Brentwood.
If you'd like to learn about enhancing your smile, contact our team online or by calling (615) 373-1012 to book your evaluation with one of our dentists.
This patient came to us with an old restoration on his front tooth that distracted from the appearance of his smile. We gave thim a brighter more uniform smile with durable and aesthetic porcelain crowns.
Contact Your Brentwood, TN, Dentist
Learn more about how dental crowns can enhance and protect your smile by contacting Sullivan Dental Partners at (615) 373-1012.
A dental bridge and porcelain crowns helped restore this patient's missing tooth and their beautiful smile.
Now this patient can eat and chew comfortably while feeling confident about smiling again!
Learn More About Cosmetic Dentistry in Brentwood
Whether you're living with missing, decayed, broken, or damaged teeth, our cosmetic dentists can help, and the possibilities for your smile are endless.
Learn more by contacting Sullivan Dental Partners today.
Tooth decay and periodontal disease plagued this patient's smile when he first came to us. Periodontal treatment, gum contouring, and porcelain crowns and veneers restored his teeth and helped him smile confidently again.
Contact Your Brentwood Cosmetic Dentist to Learn More
If you're living with compromised teeth, contact your team at Sullivan Dental Partners online or by calling (615) 373-1012.
Cosmetic crowns restored this smile's sparkle! Dull and worn teeth kept this person from smiling their best smile. Our dentists used ceramic porcelain crowns to restore function and beauty to this patient's smile.
Cosmetic dentistry in Brentwood can help you achieve the smile you've always wanted! Contact our team online or by calling (615) 373-1012.
This was a sweet patient who had conquered cancer but the chemotherapy and radiation took a toll on her teeth. She had several areas of decay and discolorations that she was ready to address after winning the battle over cancer, and now, she can smile with confidence again!
CEREC cosmetic crowns brought this smile back to life! Dull, worn, and decayed teeth are gone, and this smile's been enhanced with CEREC same-day crowns.
CEREC technology means this person didn't have to wait weeks to enjoy their new smile. Instead, we can deliver beautiful porcelain crowns in only one appointment at our Brentwood dental office, so you don't have to wait weeks to enjoy your new smile.
Learn more about cosmetic dentistry by contacting Sullivan Dental Partners.
Invisalign is an excellent solution for straightening teeth discreetly! This person straightened their lower teeth with invisible braces with Invisalign, and now they can enjoy better bite alignment, easier chewing, stress-free brushing, and a beautiful smile!
Achieve your dream smile with Invisalign in Brentwood. Learn more by booking an evaluation with one of our dentists.
One of my favorite braces patients. She never liked the crowding in her upper and lower teeth. With just 5 and half months in clear braces she got a smile anyone would be proud of! If you have mild to moderate anterior crowding this can be a great way to straighten teeth affordably and quickly!
This patient had always had crowding on his two front teeth. He was worried about it getting worse. In just about six months we had his teeth perfectly straight. Best part about it is that the braces are so clear that its like you aren't even wearing anything.
Excessive wear, discoloration, and broken teeth were all problems this patient faced when he came to us. Porcelain crowns and veneers restored function and vitality to his smile and even enhanced his facial structure.
Your New Smile Awaits!
If you'd like to learn what's possible for your smile, contact your Brentwood cosmetic dentist at (615) 373-1012.
When she first came to us, she was wearing a splint 24/7 to prevent her from clenching and grinding on her teeth. Stress and anxiety were causing her to wear her teeth down daily and she was ready for a change. Before we could focus on the aesthetics, we had to address the position of her teeth to improve her day to day function. We worked closely with our orthodonic team and got her teeth in the correct position, and then we were able to rebuild her smile with crowns.
After years of wear and tear to his teeth, a lot of which happened while he was asleep due to the force he was putting on his teeth because of untreated Obstructive Sleep Apnea, he was ready to get his smile back and protect his teeth from additional wear. This was achieved with several crowns and when we were finished, we were able to focus on treating his Sleep Apnea with a Somnomed sleep appliance.
After a long journey to sobriety, this patient was ready to get his mouth healthy along with the rest of his body. He was ready to smile with his kids again and jumpstart his new career.
Broken, worn, and decayed teeth plagued this person's smile. So our dentists combined porcelain crowns and veneers to rebuild, strengthen, and enhance this patient's smile.
Smile makeovers are personalized treatment plans that address the patient's unique needs. The treatment plan typically combines multiple procedures to restore chewing function while enhancing the patient's smile.
You can learn what's possible for your smile by calling our team at (615) 373-1012 to schedule an evaluation with one of our dentists.
Here is another example of the Pinhole technique. This patient had severe recession on almost every tooth. In one visit we were able to correct this recession with the minimally invasive technique! Check out more on the Pinhole page!
This is a great example of severe recession on the canine tooth or eye tooth. This is one of my favorite areas to treat because the results are just fabulous. No more chance for root cavities or sensitivity on this patient with a pinhole graft treatment.
Have you ever noticed or felt a bony protrusion under your tongue that gets in the way when you're eating or having dental xrays taken? It is called lingual tori and can grow over time if stimulated by force from clenching and grinding. If this is something that bothers you like it did this patient, let us know and we can remove it for you! This will make eating chips and salsa a lot more enjoyable!
Lip and Tounge Tie treatment was performed on a young patient to help release the tongue and aide in talking and eating comfortably.