Smile Gallery: Cosmetics
When you're thinking of having dental work done, one of the questions you probably ask is, "How will it affect the appearance of my smile?"
We can assure you that at Sullivan Dental Partners, every procedure we perform not only improves your oral health, but also enhances your appearance. If you're having trouble envisioning how a particular procedure would change your smile, please browse through our gallery of Before and After pictures of some of our actual patients.




Before and After: Full Smile Makeover
This patient visited Sullivan Dental Partners looking to completely rejuvenate her smile. Through a customized full mouth smile makeover—including veneers, crowns, and whitening—we transformed her smile into one that’s bright, balanced, and beautifully natural. The results reflect both enhanced confidence and lasting oral health.




Full Smile Makeover – Before & After
This patient wanted a complete transformation to address worn, discoloured, and uneven teeth. Through a customised combination of cosmetic and restorative treatments, we created a brighter, more balanced, and youthful smile. The result is a stunning, confident look tailored to their unique goals.


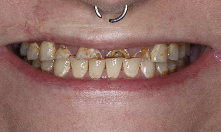
Before and After: CEREC Same-Day Crowns/Smile Makeover
This patient needed quick and reliable restoration for damaged teeth. Using CEREC same-day crown technology at Sullivan Dental Partners, we designed, created, and placed custom ceramic crowns—all in a single visit. The result is a strong, natural-looking smile with no temporary crowns or multiple appointments needed.




This patient presented with a gap between her front teeth and teeth compromised by decay. CEREC cosmetic crowns gave her a bright new smile to be proud of.
CEREC technology allows us to create porcelain crowns in-house, which saves our patients weeks of waiting time.
Could You Benefit From CEREC Technology?
Learn more by contacting your team at Sullivan Dental Partners.


This patient was facing severe tooth decay and damage due to periodontal (gum) disease. After undergoing treatment for gum disease, gum contouring, and a brand-new set of porcelain crowns, she is now smiling her best smile!
Contact Sullivan Dental Partners
If you're living with compromised teeth, we have solutions for you. Call your Brentwood dentist at (615) 373-1012 or book an evaluation with Dr. Sullivan online.




Can you believe that this patient began enjoying her new smile after only one appointment? Innovative CEREC technology allows us to mill high-quality, beautiful porcelain crowns in our Brentwood dental office while you wait.
CEREC crowns are durable, look fantastic, and don't take weeks to complete!
Learn More About CEREC Crowns in Brentwood, TN
Call Sullivan Dental Partners at (615) 373-1012 for more information about CEREC same-day tooth crowns.


After years of wear and tear, this patient's smile suffered from tooth damage, decay, wear, and discoloration.
Smile makeovers combine multiple cosmetic treatment procedures like crowns and veneers to create a functional and beautiful smile that patients can feel proud of.
Smile makeovers are uniquely tailored to each patient's needs because our dentists consider smile goals, health history, lifestyle, and budget needs when creating treatment plans.
Book a smile evaluation with one of our dentists online or by calling Sullivan Dental Partners at (615) 373-1012.


Is your smile looking dull and discolored? Cosmetic dentistry in Brentwood, TN, can help you achieve the brighter, more beautiful smile you want.
With a variety of treatment options, including porcelain crowns and veneers or professional teeth whitening, we can help you achieve a smile you can be proud of.
Contact Sullivan Dental Partners if you have questions about cosmetic dentistry.


Dental crowns and veneers help us create dream smiles like the one you see here!
CEREC technology allows us to deliver a smile like this in only one appointment with same-day crowns and veneers in Brentwood.
If you'd like to learn about enhancing your smile, contact our team online or by calling (615) 373-1012 to book your evaluation with one of our dentists.


This patient came to us with an old restoration on his front tooth that distracted from the appearance of his smile. We gave thim a brighter more uniform smile with durable and aesthetic porcelain crowns.
Contact Your Brentwood, TN, Dentist
Learn more about how dental crowns can enhance and protect your smile by contacting Sullivan Dental Partners at (615) 373-1012.


Cosmetic crowns restored this smile's sparkle! Dull and worn teeth kept this person from smiling their best smile. Our dentists used ceramic porcelain crowns to restore function and beauty to this patient's smile.
Cosmetic dentistry in Brentwood can help you achieve the smile you've always wanted! Contact our team online or by calling (615) 373-1012.


This was a sweet patient who had conquered cancer but the chemotherapy and radiation took a toll on her teeth. She had several areas of decay and discolorations that she was ready to address after winning the battle over cancer, and now, she can smile with confidence again!


CEREC cosmetic crowns brought this smile back to life! Dull, worn, and decayed teeth are gone, and this smile's been enhanced with CEREC same-day crowns.
CEREC technology means this person didn't have to wait weeks to enjoy their new smile. Instead, we can deliver beautiful porcelain crowns in only one appointment at our Brentwood dental office, so you don't have to wait weeks to enjoy your new smile.
Learn more about cosmetic dentistry by contacting Sullivan Dental Partners.




Excessive wear, discoloration, and broken teeth were all problems this patient faced when he came to us. Porcelain crowns and veneers restored function and vitality to his smile and even enhanced his facial structure.
Your New Smile Awaits!
If you'd like to learn what's possible for your smile, contact your Brentwood cosmetic dentist at (615) 373-1012.


When she first came to us, she was wearing a splint 24/7 to prevent her from clenching and grinding on her teeth. Stress and anxiety were causing her to wear her teeth down daily and she was ready for a change. Before we could focus on the aesthetics, we had to address the position of her teeth to improve her day to day function. We worked closely with our orthodonic team and got her teeth in the correct position, and then we were able to rebuild her smile with crowns.


After years of wear and tear to his teeth, a lot of which happened while he was asleep due to the force he was putting on his teeth because of untreated Obstructive Sleep Apnea, he was ready to get his smile back and protect his teeth from additional wear. This was achieved with several crowns and when we were finished, we were able to focus on treating his Sleep Apnea with a Somnomed sleep appliance.


Broken, worn, and decayed teeth plagued this person's smile. So our dentists combined porcelain crowns and veneers to rebuild, strengthen, and enhance this patient's smile.
Smile makeovers are personalized treatment plans that address the patient's unique needs. The treatment plan typically combines multiple procedures to restore chewing function while enhancing the patient's smile.
You can learn what's possible for your smile by calling our team at (615) 373-1012 to schedule an evaluation with one of our dentists.