Smile Gallery: All-on-X Implant Dentures
When you're thinking of having dental work done, one of the questions you probably ask is, "How will it affect the appearance of my smile?"
We can assure you that at Sullivan Dental Partners, every procedure we perform not only improves your oral health, but also enhances your appearance. If you're having trouble envisioning how a particular procedure would change your smile, please browse through our gallery of Before and After pictures of some of our actual patients.




Before and After: All-on-X Implant Dentures
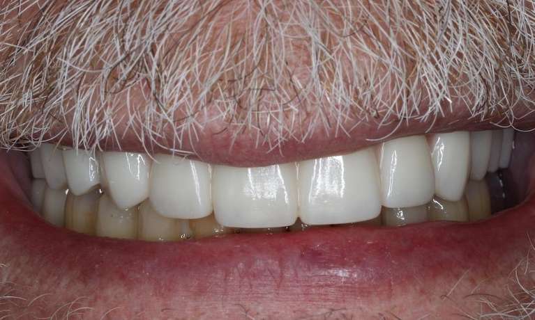
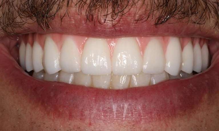
This patient came to Sullivan Dental Partners seeking a long-term solution for missing and damaged teeth. With All-on-X implant dentures, we restored his full smile, improving both function and appearance. The transformation showcases a natural-looking, confident smile that’s built to last.




All-on-X Implant Dentures – Before & After
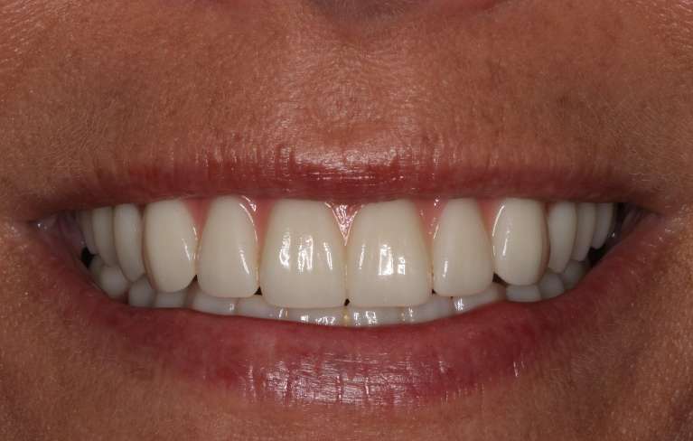
This patient needed a full-arch solution after years of dental issues. With All-on-X implant dentures, we restored their smile using a secure, fixed set of teeth supported by implants. The transformation delivers a natural look, improved function, and long-term confidence—all in one streamlined treatment.


Top Denture & Bottom Snap-In Denture – Before & After
This patient was struggling with missing teeth and loose-fitting dentures. We provided a custom upper denture and a lower implant-supported snap-in denture for added stability and comfort. The final result is a secure, natural-looking smile with improved function and confidence.


Look how this patient shines with her brand-new set of implant-supported dentures! Implant dentures restore her smile, chewing function, and facial structure. They also provide the added bonus of keeping her jawbone healthy and stable, which gives her denture better longevity.
Learn More at Sullivan Dental Partners
We encourage you to call us at (615) 373-1012 to learn more about what's possible for your smile!


This patient smiles their best smile with implant dentures in Brentwood, TN!
Missing teeth made eating and chewing a challenge for this patient. With an implant-supported denture, he can now chew and eat with ease and also smile with confidence.
Reclaim Your Smile with Brentwood Implant Dentures!
Are implant-supported dentures the right treatment for you? Find out during an evaluation with one of our dentists.


Implant dentures to the rescue in restoring this patient's confident smile!
Missing teeth impact your quality of life, whether it's chewing function or your ability to talk, laugh, and smile with ease. Being able to enjoy your food and smile confidently is priceless!
Reclaim Your Life with Implant Dentures in Nashville
Book an evaluation with one of our dentists to learn how we can help you regain your smile and confidence.


Implant dentures in Nashville restored function and aesthetics to this patient's smile. Now they can bite, chew, and smile with confidence again.
Dental implants provide the added bonus of protecting your bone health, which means better longevity for your denture.
Learn More About Implant-Supported Dentures
Book an evaluation with one of our dentists online or speak to our team when you call (615) 373-1012.


This patient's smile was plagued with severe tooth decay, gum disease, and missing teeth. Our Nashville cosmetic dentists helped him reclaim his smile, function, and confidence with upper and lower implant dentures.
With his new teeth, he can eat comfortably and smile with confidence.
Would You Like to Learn More About Implant Dentures?
Contact our team to learn about implant dentures in Nashville for your smile.


Upper and lower implant dentures in Nashville restored this patient's smile and chewing function. Dentures replaced teeth that were broken, missing, and damaged, while implants hold them securely in place for better chewing function.
Now this patient is smiling with confidence and living their best life!
Contact Sullivan Dental Partners to learn more about the possibilities for your smile.




This patient presented with broken, worn, and missing teeth that left them unable to chew, talk, or smile comfortably or with confidence.
Upper and lower implant dentures provide stability and security for proper chewing function and aesthetics for a confident smile. With dental implants holding their dentures securely in place, this patient won't ever have to worry about movement or slippage when they talk or eat.
Are Implant Dentures in Nashville an Option for You?
Learn more about implant-supported dentures by scheduling an evaluation with one of our dentists.




Years of wear and tear compromised this patient's smile and chewing function. They were living with tooth decay, damage, and discoloration.
Nashville implant dentures restored their smile, chewing function, and facial structure. With dental implants holding their upper and lower dentures securely in place, this patient will never have to worry about movement or slippage when they eat, talk, or laugh.
What's Possible for You?
If you're considering enhancing the appearance and function of your smile, contact your Nashville cosmetic dentists to learn more about how we can help!


Before implant dentures, this smile was plagued with missing, damaged, and decayed teeth.
An implant-supported denture in Nashville stabilized this smile, restoring chewing function, facial structure, and aesthetics so this patient could feel confident again.
Contact Sullivan Dental Partners
Call our team at (615) 373-1012 or book an evaluation online with one of our dentists to learn more about what's possible for your smile.


This patient presented with damaged and missing teeth on their upper arch. An implant-supported denture restored function and aesthetics to their smile.
Now they can eat and chew confidently and feel proud of their smile!
Learn About Implant Dentures in Nashville, TN
You can learn more about how implant dentures can restore your smile by scheduling an evaluation with one of our dentists. Book your appointment online or call our team at (615) 373-1012.


Old, worn, broken-down restorations compromised this smile.
A brand-new implant denture in Nashville was just what this patient needed to rejuvenate their smile! Now they're chewing and eating with ease again.
Our dentists can determine if implant-supported dentures are right for you during an evaluation. Call (615) 373-1012 to book your appointment.


When we first met, this patient could not eat comfortably or feel confident about their smile.
Upper and lower implant dentures restored their teeth. Now they're enjoying all the foods they used to love, experiencing better nutrition, and smiling with confidence again.
Could Implant-Supported Dentures in Nashville Be Your Solution?
Take the steps toward your beautiful smile and improved dental health by calling our team at (615) 373-1012 or booking an evaluation with our dentists online.


Feeling confident about your smile is hard when your front teeth are compromised by tooth decay.
A new upper implant denture helped this patient reclaim their smile and confidence.
Your Nashville dentist can help you achieve your best smile! Book an evaluation with one of our dentists online or by calling our team at (615) 373-1012.


This smile was plagued by tooth decay that was causing damage and tooth breakdown, becoming uncomfortable and making it hard for this patient to chew.
An upper implant denture revitalized their smile! Now chewing and eating are easy and comfortable, and smiling is something they can enjoy again.
Let your cosmetic dentist in Nashville help you reclaim your best smile! Call our team at (615) 373-1012 for more information.


Implant-supported dentures gave this patient back her smile! Not to mention stabilized function for chewing and eating. In addition, implant dentures in Nashville hold dentures securely in place, which gives patients peace of mind knowing they won't slip or move while they're eating or talking.
Want to Learn More About Implant-Supported Dentures in Nashville, TN?
Contact Sullivan Dental Partners at (615) 373-1012.