Smile Gallery: Same Day CEREC Crowns
When you're thinking of having dental work done, one of the questions you probably ask is, "How will it affect the appearance of my smile?"
We can assure you that at Sullivan Dental Partners, every procedure we perform not only improves your oral health, but also enhances your appearance. If you're having trouble envisioning how a particular procedure would change your smile, please browse through our gallery of Before and After pictures of some of our actual patients.


Before and After: CEREC Same-Day Crowns/Smile Makeover
This patient needed quick and reliable restoration for damaged teeth. Using CEREC same-day crown technology at Sullivan Dental Partners, we designed, created, and placed custom ceramic crowns—all in a single visit. The result is a strong, natural-looking smile with no temporary crowns or multiple appointments needed.




This patient presented with a gap between her front teeth and teeth compromised by decay. CEREC cosmetic crowns gave her a bright new smile to be proud of.
CEREC technology allows us to create porcelain crowns in-house, which saves our patients weeks of waiting time.
Could You Benefit From CEREC Technology?
Learn more by contacting your team at Sullivan Dental Partners.




Can you believe that this patient began enjoying her new smile after only one appointment? Innovative CEREC technology allows us to mill high-quality, beautiful porcelain crowns in our Brentwood dental office while you wait.
CEREC crowns are durable, look fantastic, and don't take weeks to complete!
Learn More About CEREC Crowns in Brentwood, TN
Call Sullivan Dental Partners at (615) 373-1012 for more information about CEREC same-day tooth crowns.




Have you ever felt like you had a "gummy" smile?
This patient found her best smile with cosmetic CEREC crowns in Brentwood that reduced the gum tissue seen when she smiles and added a more uniform and symmetric appearance to her smile. Not to mention brightening it!
Learn More About Cosmetic Dentistry in Brentwood, TN
If you'd like to achieve your best smile, you can learn what's possible by calling our team at (615) 373-1012 or booking your appointment online.


Dentistry and artistry combined to create this stunning smile!
This patient presented with excessively worn teeth and a "gummy" smile.
Our dentists used beautiful porcelain crowns combined with a procedure called crown lengthening, or gum contouring, that shapes the gums around the teeth for a symmetrical and gorgeous result that reveals the smile they never knew they already had.
What's Possible for Your Smile?
Contact your Brentwood, TN, cosmetic dentist at (615) 373-1012 and schedule an evaluation with one of our dentists to learn more about how we can help you achieve your best smile.


A brighter, more symmetrical smile can take years off of your appearance!
Cosmetic crowns breathed new life into this patient's dull and discolored smile. CEREC technology allows us to create beautiful and durable crowns during one appointment while the patient waits.
Would You Like to Learn More?
You can learn what's possible for your smile by scheduling an evaluation with your cosmetic dentist in Brentwood. Call Sullivan Dental Partners at (615) 373-1012 or book an appointment online.




Can you believe this patient enjoyed her new smile on the same day as treatment? With CEREC crowns, we design and create restorations for your enhanced smile while you wait. So you'll leave our dental office with teeth you can feel proud of and rely on for comfortable chewing and eating.
Do You Need a Dental Crown in Brentwood, TN?
Contact Sullivan Dental Partners to learn more about how we can help you!


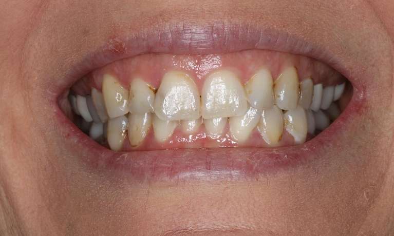
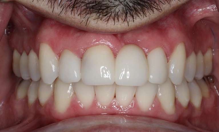
This patient presented with tooth decay, staining, and discoloration across their site line. However, same-day CEREC crowns restored vitality and vibrance to their smile again.
Do You Need a Tooth Crown?
Learn more about same-day crowns in Brentwood, TN, by booking an evaluation with one of our dentists.


Time took its toll on this patient's smile! However, worn and yellowed teeth were covered with bright, beautiful porcelain crowns.
Now this patient enjoys a more comfortable bite, a stunning smile, and easy chewing!
What's Possible for Your Smile?
Our cosmetic dentists in Brentwood can create a plan to restore and enhance your smile too. Book an evaluation online or speak with our team by calling our dental office at (615) 373-1012.


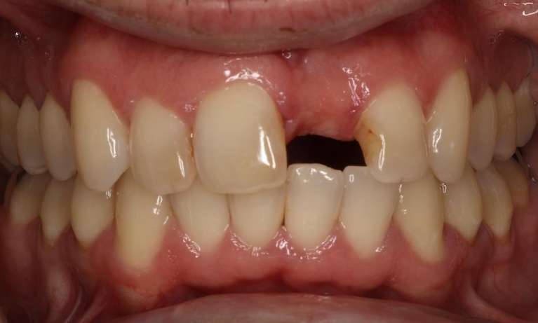
This patient presented with a missing front tooth. We used a dental bridge to replace it. We started with professional teeth whitening to lighten their teeth. Then, we could enhance their smile with a bridge shaded to flawlessly blend with their teeth.
A bridge uses crowns that anchor to the healthy teeth on either side, which support a prosthetic tooth in the middle.
We Have Solutions for Your Smile!
Whether you're missing a tooth or living with damaged or decayed teeth, our Brentwood cosmetic dentists can help. Book an evaluation online or by calling (615) 373-1012.




Cosmetic porcelain crowns gave this patient back her best smile!
Porcelain crowns restored worn and damaged teeth, providing a brighter, rejuvenated smile that takes years off this patient's appearance and improves chewing function.
With CEREC same-day technology, we can deliver your new smile during one appointment instead of waiting weeks for a dental lab to complete the work.
Contact Sullivan Dental Partners at (615) 373-1012 for more information about dental crowns in Brentwood, TN.




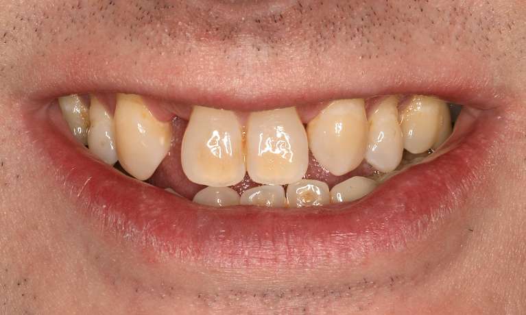
Tooth decay plagued this patient's smile, but cosmetic crowns eliminated the damage and delivered a smile they can be proud of!
Porcelain crowns in Brentwood cover a tooth from top to bottom, protecting the integrity of your natural tooth structure while delivering the function and aesthetics you want.
Are Dental Crowns a Solution for Your Smile?
You can learn how we can help you achieve your best smile by booking an evaluation online or calling our team at (615) 373-1012.


Eight CEREC same-day porcelain crowns were all it took to breathe life back into this patient's dull and discolored smile.
Porcelain crowns cover damaged, discolored, or decayed teeth, restoring them to full function and aesthetics. CEREC technology allows us to deliver beautiful and durable porcelain crowns to you during one appointment.
Learn more about tooth crowns in Brentwood, TN, by calling Sullivan Dental Partners at (615) 373-1012.




Our dentists gave this patient a more symmetrical, uniform, and beautiful smile with eight cosmetic crowns restoring their front teeth.
Better yet, CEREC technology allows us to design, fabricate, and deliver those crowns in one appointment without waiting weeks for a dental lab to complete their smile.
We Can Redesign Your Smile!
The possibilities are endless with your cosmetic dentist in Brentwood! Book an evaluation with our dentists to discuss your new, more beautiful smile.


Excessive tooth wear made it hard for this patient to properly chew their food.
Our dentists used cosmetic crowns to rebuild their smile and restore function and aesthetics. Now they can chew and eat comfortably and proudly share their smile with the world.
Learn More About Cosmetic Dentistry in Brentwood, TN
You can learn how we can restore your smile by booking an evaluation with one of our dentists. Contact us online or by phone at (615) 373-1012.


This patient came to us with an old restoration on his front tooth that distracted from the appearance of his smile. We gave thim a brighter more uniform smile with durable and aesthetic porcelain crowns.
Contact Your Brentwood, TN, Dentist
Learn more about how dental crowns can enhance and protect your smile by contacting Sullivan Dental Partners at (615) 373-1012.


A dental bridge and porcelain crowns helped restore this patient's missing tooth and their beautiful smile.
Now this patient can eat and chew comfortably while feeling confident about smiling again!
Learn More About Cosmetic Dentistry in Brentwood
Whether you're living with missing, decayed, broken, or damaged teeth, our cosmetic dentists can help, and the possibilities for your smile are endless.
Learn more by contacting Sullivan Dental Partners today.




Tooth decay and periodontal disease plagued this patient's smile when he first came to us. Periodontal treatment, gum contouring, and porcelain crowns and veneers restored his teeth and helped him smile confidently again.
Contact Your Brentwood Cosmetic Dentist to Learn More
If you're living with compromised teeth, contact your team at Sullivan Dental Partners online or by calling (615) 373-1012.


Cosmetic crowns restored this smile's sparkle! Dull and worn teeth kept this person from smiling their best smile. Our dentists used ceramic porcelain crowns to restore function and beauty to this patient's smile.
Cosmetic dentistry in Brentwood can help you achieve the smile you've always wanted! Contact our team online or by calling (615) 373-1012.


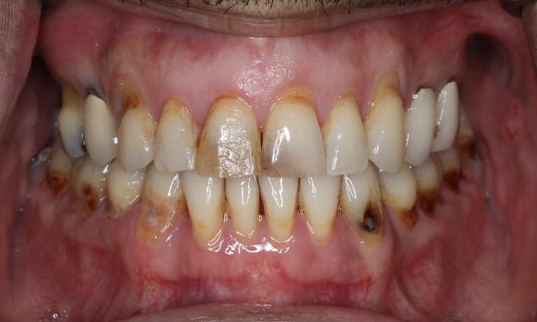
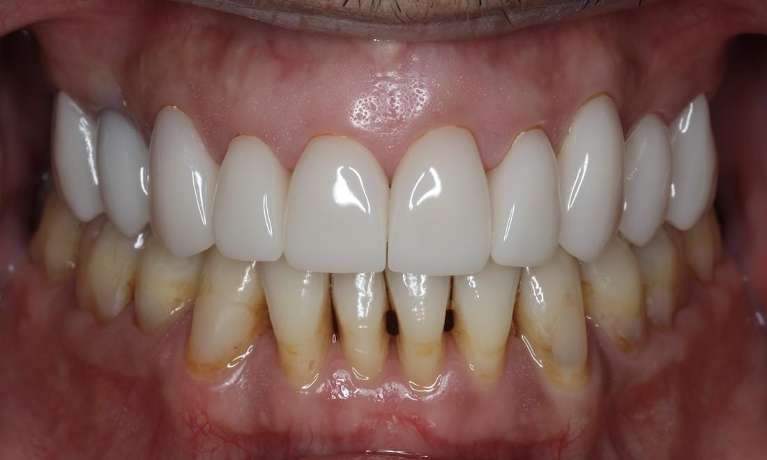
This was a sweet patient who had conquered cancer but the chemotherapy and radiation took a toll on her teeth. She had several areas of decay and discolorations that she was ready to address after winning the battle over cancer, and now, she can smile with confidence again!


CEREC cosmetic crowns brought this smile back to life! Dull, worn, and decayed teeth are gone, and this smile's been enhanced with CEREC same-day crowns.
CEREC technology means this person didn't have to wait weeks to enjoy their new smile. Instead, we can deliver beautiful porcelain crowns in only one appointment at our Brentwood dental office, so you don't have to wait weeks to enjoy your new smile.
Learn more about cosmetic dentistry by contacting Sullivan Dental Partners.




Excessive wear, discoloration, and broken teeth were all problems this patient faced when he came to us. Porcelain crowns and veneers restored function and vitality to his smile and even enhanced his facial structure.
Your New Smile Awaits!
If you'd like to learn what's possible for your smile, contact your Brentwood cosmetic dentist at (615) 373-1012.


When she first came to us, she was wearing a splint 24/7 to prevent her from clenching and grinding on her teeth. Stress and anxiety were causing her to wear her teeth down daily and she was ready for a change. Before we could focus on the aesthetics, we had to address the position of her teeth to improve her day to day function. We worked closely with our orthodonic team and got her teeth in the correct position, and then we were able to rebuild her smile with crowns.


After years of wear and tear to his teeth, a lot of which happened while he was asleep due to the force he was putting on his teeth because of untreated Obstructive Sleep Apnea, he was ready to get his smile back and protect his teeth from additional wear. This was achieved with several crowns and when we were finished, we were able to focus on treating his Sleep Apnea with a Somnomed sleep appliance.