Sullivan Dental Partners

Lip & Tongue Tie

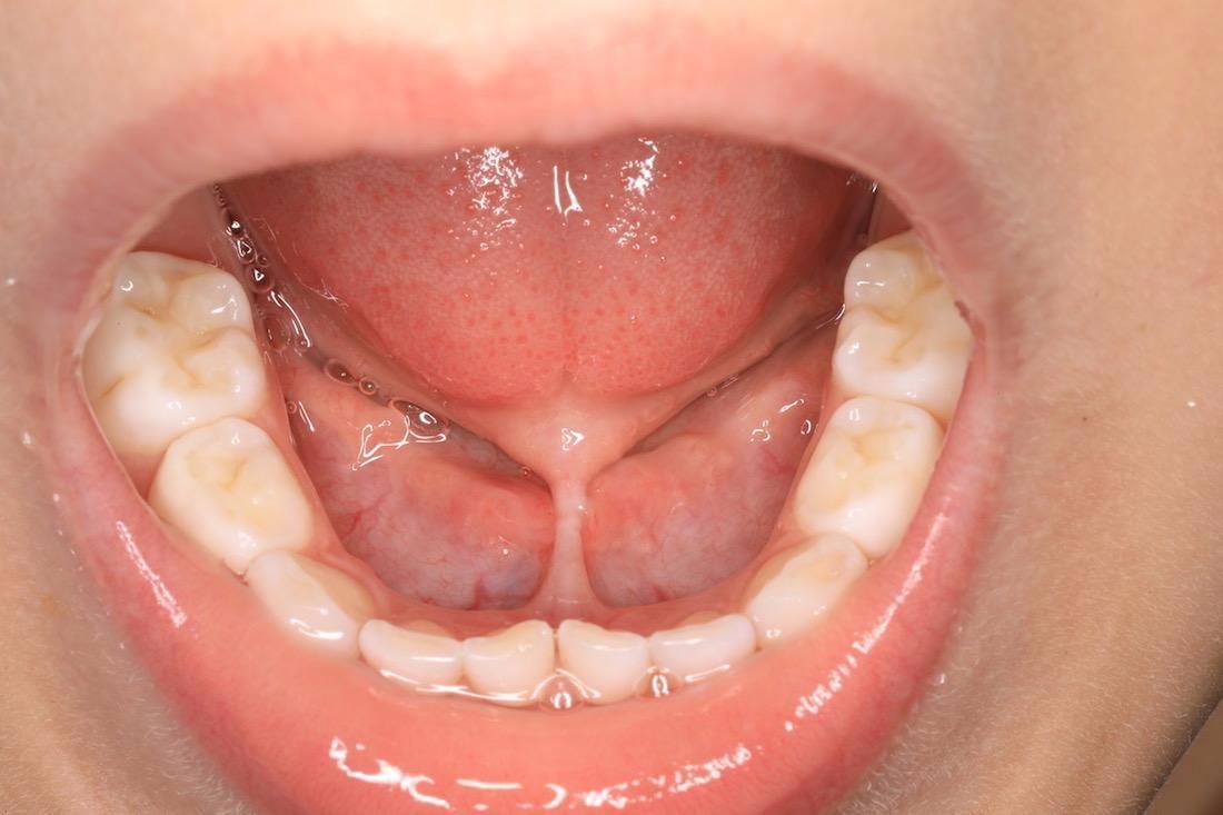
Lip and Tounge Tie treatment was performed on a young patient to help release the tongue and aide in talking and eating comfortably. 

Related Services:

Lip & Tongue Tie
Lip and tongue tie | Sullivan Dental Partners Lip and tongue tie treatment | Sullivan Dental Partners
Improve your smile today – call to schedule a consultation!
If you have difficulty using our website, please email us or call us at (615) 373-1012
View the ADA Accessibility Statement