Sullivan Dental Partners

Virtual Consults

Virtual Consults

Are you looking to improve your smile cosmetically or replace missing teeth? A virtual consult from one of our trusted doctors is a great way to get started! 

Let's go through the process: 

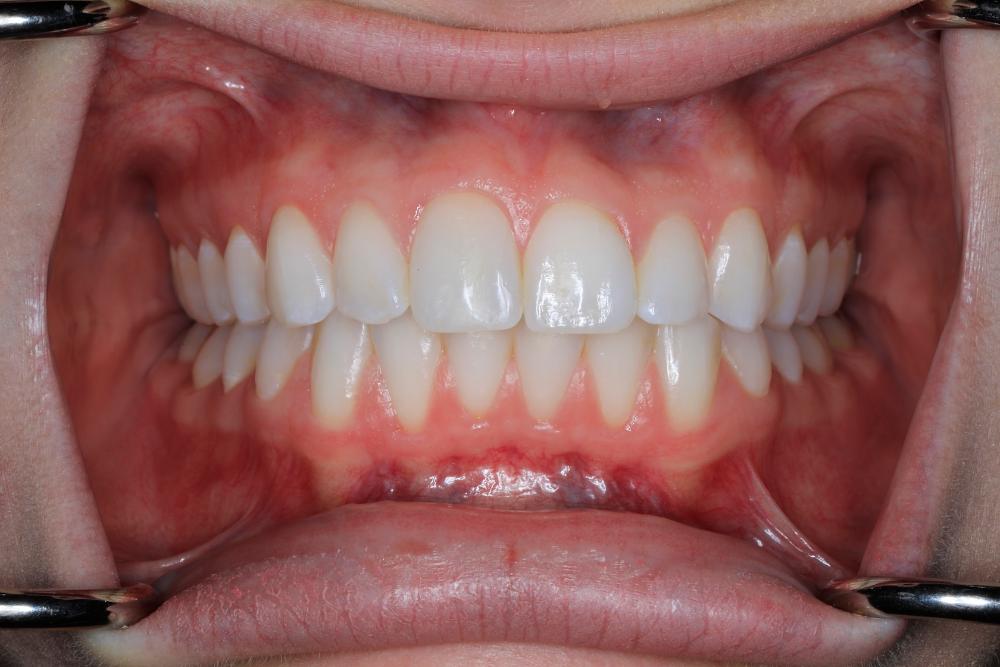
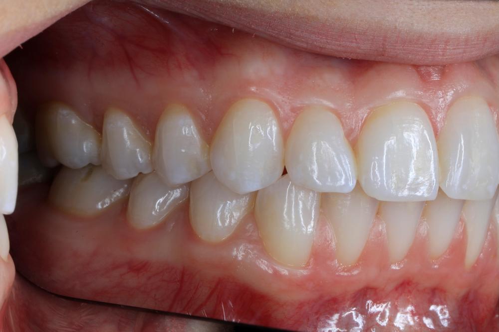
1: Send us photos of your smile to info@sullivandentalpartners.com. Please follow the example photos below. Utilize spoons to pull your lips away from your teeth for the photographs. The better the quality, the better the consultation! 

2: Fill out the form on the button below for us to better understand what your goals are.

3: Wait to hear from us in the next 1-2 business days. 

Consultation Info

If you have difficulty using our website, please email us or call us at (615) 373-1012